Accueil Présentation Honoraires Etude de cas Contact Liens



Etude de cas

 

Nous réalisons des poses d'appareils adaptés à chacun de vos besoin : Invisalign, orthodontie linguale, appareils dentaires fixes ou amovibles.
Tous les traitements peuvent être envisagés. L'orthodontie peut aussi être esthétique et discrète pour un traitement de longue durée moins traumatisant. Découvrez quelques exemples de traitements orthodontiques réalisés pour nos patients.

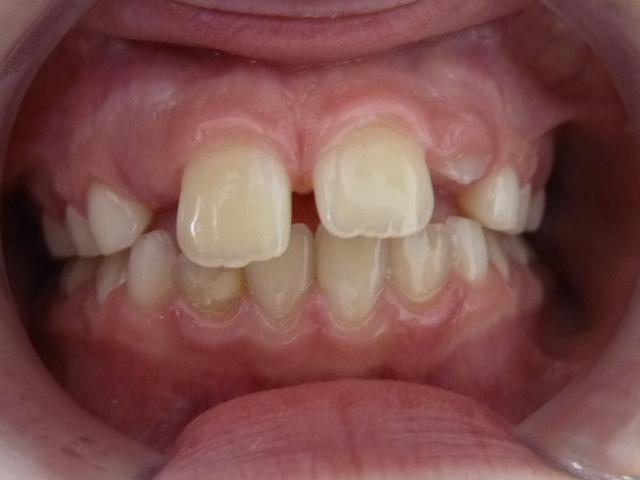
Cas d'enfant à denture mixte

                     


Cas de traitement d'un enfant

- Début du traitement

                     

- Fin du traitement

                     


Cas de traitement d'un adolescent

- Début du traitement



- Fin du traitement




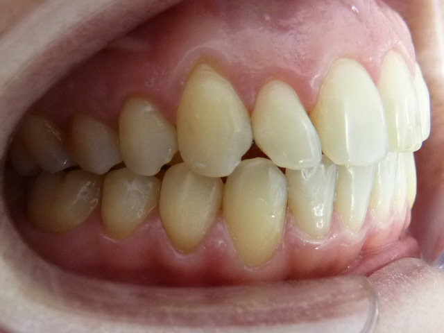
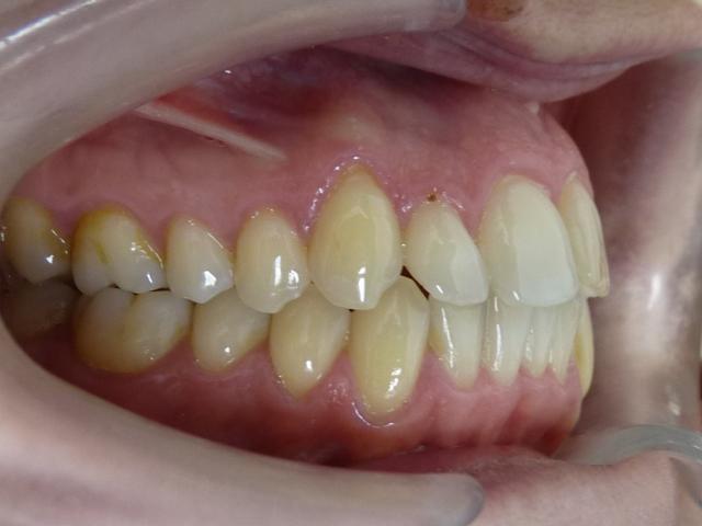
Cas de traitement lingual adulte

- Début du traitement



- Phase intermédiaire



- Fin du traitement

Copyright 2017 Orthosparis.com - Tous droits réservés